Microimplantes Interradiculares

Microimplantes Interradiculares

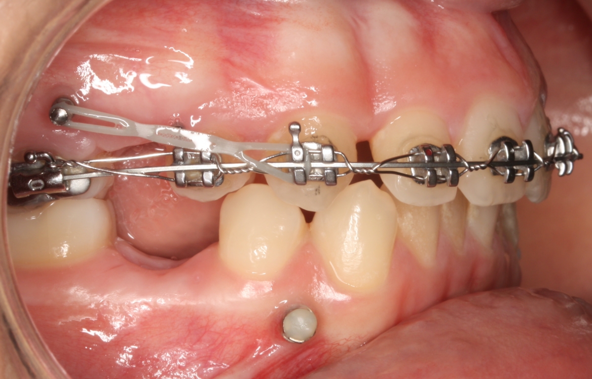
Os microimplantes  interradiculares são pequenos parafusos que se colocam  com anestesia local no osso,  entre as raízes dos dentes. São usados para facilitar determinado tipo de movimentos, realizando-se estes de uma forma mais rápida e controlada. No final do tratamento de ortodontia são removidos, não existindo qualquer tipo de complicação.